病院理念 アクセス 初診の方へ スタッフ 外科 内科 パピークラス 求人情報

TOP > 内科 > 大動脈弁逆流の動画

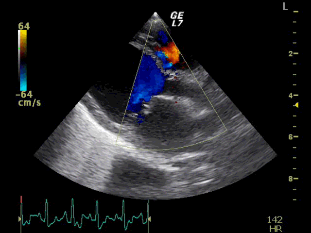
循環器科:僧帽弁逆流、三尖弁逆流、大動脈弁逆流の動画

内科
消化器科消化器科
腫瘍内科腫瘍内科
内分泌科内分泌科
神経内科神経内科
内視鏡内視鏡
腎臓内科腎臓内科
循環器科循環器科
こいぬ科こいぬ科
こねこ科こねこ科
シニア科シニア科
外科・各種整形外科
手術の様子手術の様子
骨折整復骨折整復
膝蓋骨脱臼膝蓋骨脱臼
前十字靭帯断裂前十字靭帯断裂
その他の整形外科疾患その他の整形外科疾患
その他の関節疾患その他の関節疾患
股関節形成不全股関節形成不全
跛行診断跛行診断
神経外科神経外科
腫瘍外科腫瘍外科
軟部外科軟部外科
避妊・去勢手術の流れ避妊・去勢手術の流れ
リハビリテーションリハビリテーション
予防医療予防医療
歯科歯科
眼科眼科
皮膚科・耳科皮膚科・耳科
PRP療法(多血小板血漿療法)PRP療法(多血小板血漿療法)
獣医師の先生方へ獣医師の先生方へ
ご案内ご案内
スタッフインタビュースタッフインタビュー

石神井病院石神井病院
春日町病院春日町病院

N-NOSEあにまるN-NOSEあにまる

マイクロバブルマイクロバブル

PennHIPPennHIP

ホンド動物病院は「JAHA」認定病院です

JAHAJAHA




友だち追加

Instagram
Instagramはじめました。


GCFCGCFC


動物取扱業登録番号
詳しくはコチラから

  • 第003515(豊玉病院)
  • 第003517(春日町病院)
  • 第004050(石神井病院)