内分泌科
ペットたちにおいても、ある特定のホルモンが過剰に産出されるか不足することによって、様々な内分泌疾患(ホルモンバランスの異常)が見られます。ホルモンは、体の中で相互に作用しており、その作用は様々な臓器に関わっている為、その失調により多様な症状が認められます。
犬では、副腎皮質機能亢進症や中年以降の大型犬で甲状腺機能低下症などが多く見られます。猫では、老齢猫の多くには甲状腺機能亢進症が見られます。また犬、猫どちらにおいても糖尿病の発生も見られます。このような内分泌疾患に対し、ホルモン測定を行い、治療を行っています。
犬のクッシング症候群
クッシング症候群とは、副腎からのコルチゾール分泌過剰のために下記のような様々な臨床症状を示す疾患です。本疾患は、副腎皮質機能が亢進した状態の「自然発生クッシング症候群」とステロイドの投与に伴う「医原性クッシング症候群」の2つに大きく分けられます。
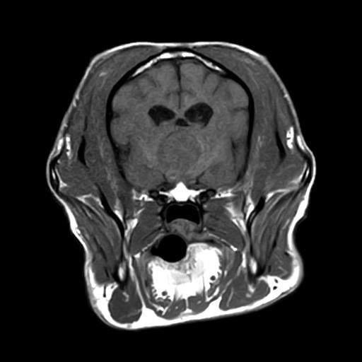
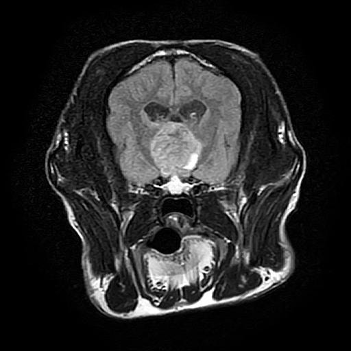
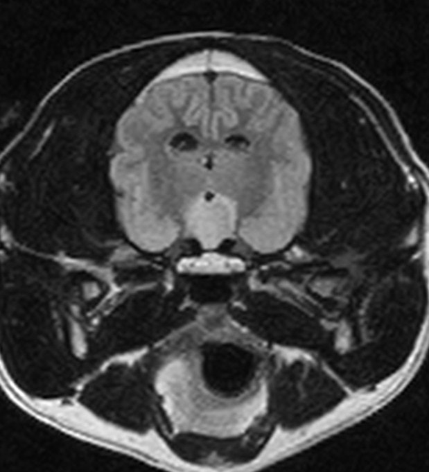
MRI画像:クッシング症候群の犬の下垂体腺腫
症状:
飼い主様が気づかれる症状としては、(1)多飲多尿 (2)多食です。
他にも、(3)腹部膨満などの体型の変化 (4)左右対称性脱毛 (5)皮膚の菲薄化 (6)呼吸器症状 (7)中枢神経症状 など様々な症状が認められます。
治療と診断:
上記のような症状が認められた場合、まず血液検査・腹部X線検査などにより、除外診断を行います。臨床症状を含め、特徴的な所見が認められた場合、クッシング症候群の確定診断のためACTH負荷試験と呼ばれる検査を行います。状況により、エコー検査、CT/MRI検査を行い、コルチゾール分泌に関わる下垂体や副腎の状態を確認します。クッシング症候群と診断された場合は、お薬によるコントロール、原因によっては外科手術などが必要となってきます。
猫の甲状腺機能亢進症は、高齢の猫で多くに認められる内分泌疾患の一つです。甲状腺の過形成、腫瘍を原因としてサイロキシンというホルモンが過剰に分泌されることで、全身的に様々な臨床症状が発現します。
症状:
飼い主さんが気づかれる最初の徴候としては、(1)体重減少 (2)多食です。また、(3)食欲不振 (4)脱毛 (5)多飲多尿 (6)下痢 (7)嘔吐 (8)活動亢進などの症状もまた認められます。
治療と診断:
以上の症状より、甲状腺機能亢進症が疑われる症例では、血液検査・尿検査を行い、さらに、本疾患の確定診断には、甲状腺ホルモンの測定が必要となってきます。本疾患と診断された場合は、お薬によるコントロールが必要となります。また、食事療法で本疾患のコントロールを行うことが可能となりました。このフードは、甲状腺ホルモンの原料となるヨウ素を非常に低く制限しています。投薬が難しく、お薬での治療が困難なネコちゃんにお勧めしております。
糖尿病は、犬にも猫にも認められる疾患で、インスリンの絶対的または相対的な不足により、持続的高血糖をはじめとする代謝異常が認められる疾患です。
犬、猫ともに、中年齢以降での発症がよく認められます。他の疾患(基礎疾患)が原因となり発症する可能性もあるため、基礎疾患の有無を検査する必要があります。
症状:
飼い主さんの気づかれる最初の徴候としては (1)多飲多尿 (2)多食 (3)体重減少です。
また、さらに病気が進行すると、糖尿病性ケトアシドーシスと呼ばれる病態に陥り、(4)元気消失 (5)食欲不振 (6)嘔吐などの症状が認められるようにます。
治療と診断:
以上の症状より糖尿病が疑われた場合、血液検査による空腹時の血糖値の測定、尿検査が必要となってきます。
本疾患と診断された場合、
- (1)食餌療法による適正な体重の維持
- (2)インスリン療法
- (3)薬でのコントロール
などによるコントロールが重要となってきます。
副腎皮質機能亢進症と甲状腺機能低下症の併発 12才 M.ダックス 未避妊雄
主訴:左腰背部、頸部の脱毛。痒みを伴わない皮膚の発赤と乾燥。多飲多尿。
各種検査結果
- 血液検査
ALP上昇、T-cho軽度上昇、FT4低下(0.3μg/dL>) - エコー検査
左右副腎の腫大(約7mm)と、肝臓において高エコー源性の境界明瞭な良性を疑う小結節性過形成が認められた。
臨床症状、血液検査、エコー検査より副腎皮質機能亢進症を疑い、ACTH刺激試験を行ったところ、コルチゾール値はPre8.0μg/dL Post 36.8μg/dLでした。副腎皮質機能亢進症と診断し、トリロスタンを処方したところ、病変部の発毛と多飲多尿の改善が見られました。臨床症状が改善した段階で、再度ACTH刺激試験を行ったところ、Pre1.3μg/dL Post 4.0μg/dLとコントロールが取れているにも関わらず、血清甲状腺ホルモン値は依然としてやや低値を示しました。そのため、甲状腺機能低下症の併発を疑い、レボチロキシンを処方しました。現在は定期的に血清甲状腺ホルモンとコルチゾル値を測定しつつ、内服を調整しています。臨床症状もなく、経過は良好です。
糖尿病の治療中に膵炎を併発した症例 スコティッシュフォールド 9歳 去勢オス
糖尿病の治療中に血糖値のコントロールがとれなくなった時には、インスリンが効きにくくなる原因(インスリン抵抗性因子)が隠れている場合があります。当院において糖尿病の治療中にインスリン抵抗因子である膵炎を併発、膵炎の治療としてステロイドを使用することにより良好な結果が得られた症例を以下にご紹介致します。
症例は、2年前に糖尿病と診断し、インスリン療法による血糖値のコントロールを開始しました。その後、一般状態をはじめ、血糖値のコントロールも良好でした。最近、血糖値の上昇、体重減少、多飲多尿の症状が再び認められました。インスリンの増量を行いましたが改善が認められず、インスリン抵抗性因子の存在を疑い、猫膵特異的リパーゼ(specfPL)を測定しました。測定の結果、8.0μg/dL(基準値<3.6μg/dL)と高値であり、膵炎の併発によるインスリン抵抗性から血糖値のコントロールがとれなくなったことが考えられました。膵炎に対する治療としてステロイド(プレドニゾロン)の内服を実施、開始後から血糖値の正常化、体重減少および多飲多尿の改善が認められました。現在、プレドニゾロンおよびインスリンの用量を調整し、症例は良好に経過中です。




































