骨折整復
気になる方は豊玉病院まで TEL:03-5912-125
上腕骨外側上顆骨折 Salter Harris IV型 : 症例1 | 症例2
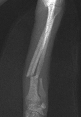
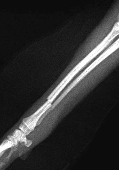
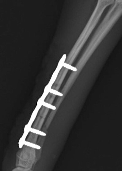
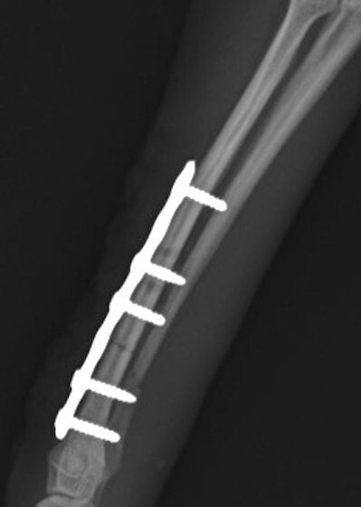
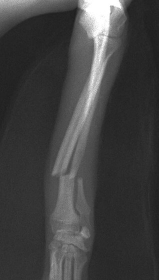
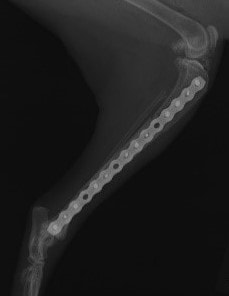
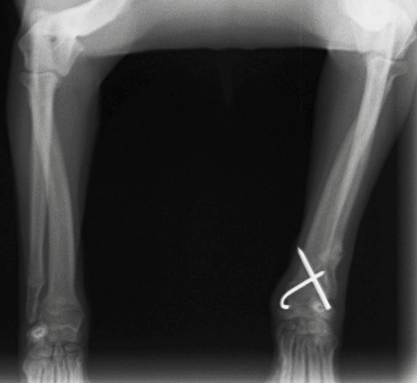
橈尺骨骨折 : 症例1 | 症例2 | 症例3 | 症例4 | 症例5 | 症例6 | 症例7
: 症例8 | 症例9 | 症例10 | 症例11 | 症例12 | 症例13 | 症例14
: 症例15 | 症例16 | 症例17 | 症例18 | 症例19 | 症例20 | 症例21
骨盤骨折 : 症例1 | 症例2 | 症例3 | 症例4
椎体骨折・脱臼:症例1
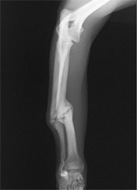
脛骨骨折 : 症例1 | 症例2 | 症例3 | 症例4 | 症例5
剥離骨折 : 症例1
中足骨骨折 : 症例1 | 症例2
大腿骨遠位端骨折 : 症例1 | 症例2
成長版骨折 : 症例1 | 症例2
Advanced Locking plate system と Locking compression plate system
当院ではAdvanced Locking plate system(ALPS)と、Locking compression plate system(LCPS)という骨接合法で骨折症例の治療を行っています。
Advanced Locking Plate System
従来型のプレートのように広い面積で骨と接するプレートを用いて固定を行った場合、プレート下の骨はプレートとの接触面において血行が絶たれ壊死し、それがリモデリングされると骨密度が低下する。この骨密度の低下防ぐために、骨折部局所への血行を温存することの重要性が近年改めて認識されるようになってきている。Advaed Locking Plate System (ALPS)は従来型のプレートシステムの欠点を改良し、より使いやすく、より骨への血行を阻害しないようにというコンセプトで作られた。
Advanced Locking Plate System の特徴
- 骨への血行障害は最小限である
- 上下左右にベンディング可能でより3次元的な成形が可能
- すべての部位においてプレート強度は均一である
- ロッキングスクリューと圧着型スクリュー(皮質骨スクリュー)の双方が使用できる
- ダイナミックコンプレッション機能
- 生体親和性の高いチタン製
- トイ犬種から馬まで応用できるサイズ展開がある


プレートの形状
![]()

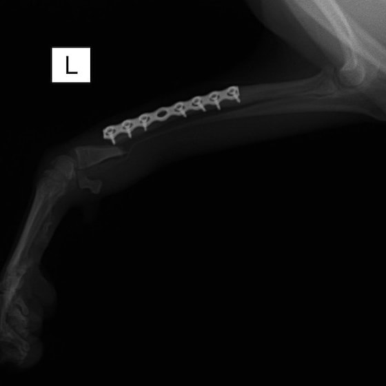
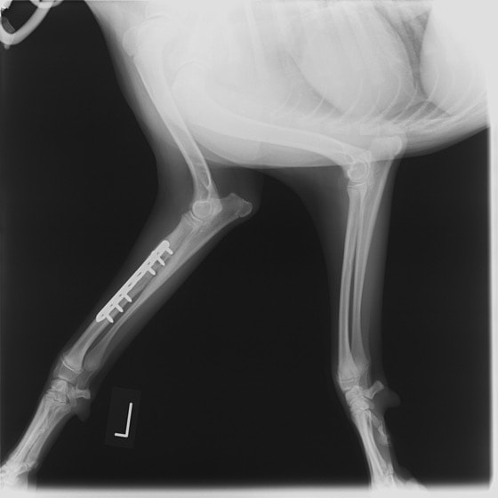
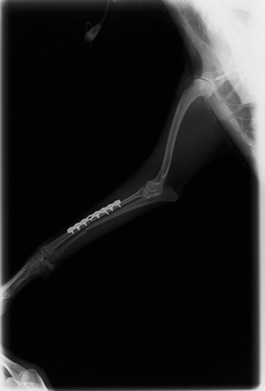
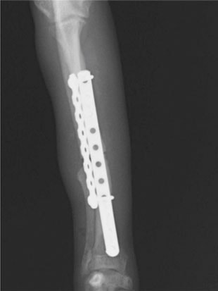
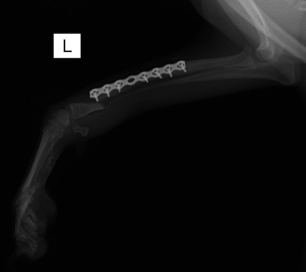
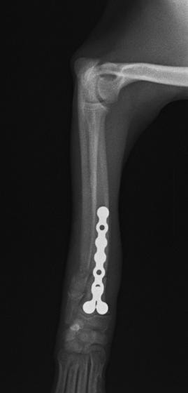
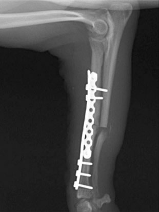
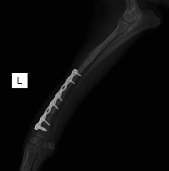
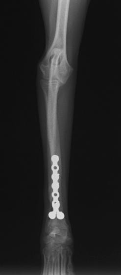
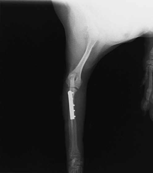
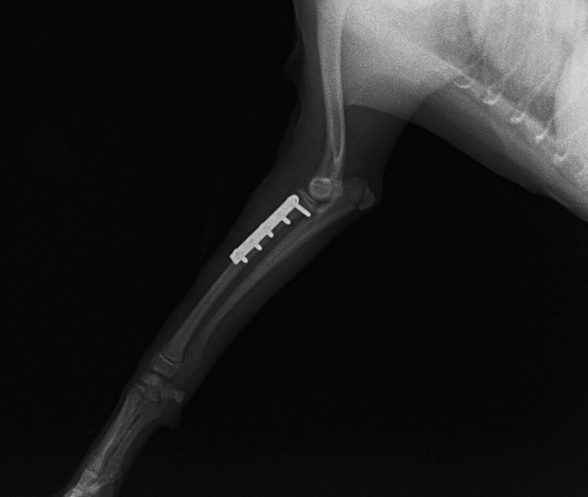
トイプードル 右遠位橈尺骨短斜骨折のALPSによる内固定
Locking Compression Plate
LCPは、スクリュー(ネジ)とプレート(金属の板)をロックする特殊な構造により骨折部位を固定する新しい世代のプレートシステムです。ひとつのホールでロッキングスクリューとスタンダードスクリューの使用を選択できるユニークな構造をしているため、骨折断端間の圧迫を目的とした従来型プレート固定法に加え、高い角度安定性を有するロッキングスクリューを用いた固定法の選択が可能です。従来のプレートシステムでは困難だった部分の骨折や癒合不全の症例に高い治療効果をもたらします。
Locking compression plate system の特徴
1.骨膜上の血行障害は最小限
2.高い角度安定性
3.プレート設置時の整復位喪失の防止
4.スクリューのルースニング(ゆるみ)の防止
5.コンビネーションホール
6.粗鬆骨における固定性の向上
7.1.5mmと薄いプレートのため、超小型犬にも使用しやすい
8.抜去が不要となることが多い

Matrix MANDIBLE
AO/ASIFコンセプトのもとに解発された人医用のロッキングプレートシステムです。材質がチタン製で、10°〜15°の角度をつけてロッキングスクリューの設置が可能であり、制限された部位での強固な固定に優れています。
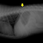
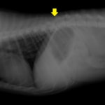
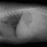
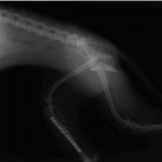
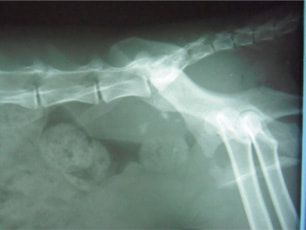
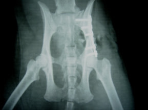
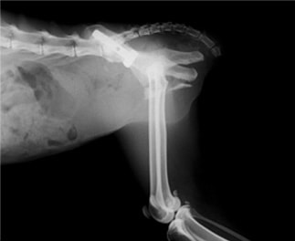
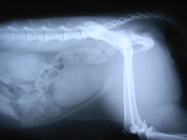
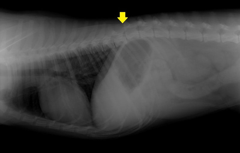
症例:交通事故による椎体脱臼
柴犬:9歳、避妊雌
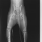
交通事故直後、胸腰部に激しい疼痛、両後肢に完全麻痺を認め、シェフシェリントン徴候を呈していました。レントゲン検査において、第11-12胸椎間の脱臼が認められました。
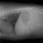
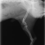
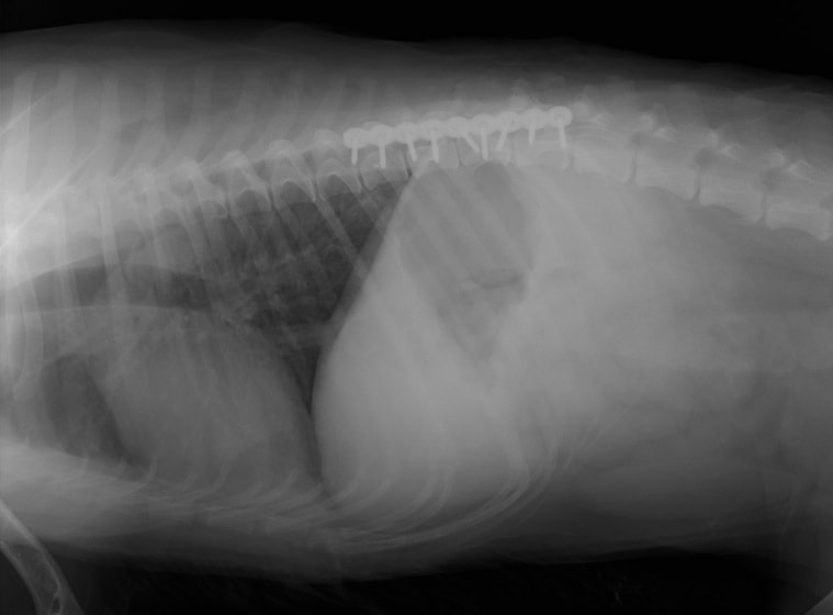
脊髄の減圧、脊柱管の再構築・安定化を目的に、片側椎弓切除術およびMatrixMANDIBLE Plateによる椎体固定を実施しました。
隣接椎体を架橋するようにプレートを設置しました。
術後レントゲン写真

※当院にはMatrixMANDIBLE Plate以外のロッキングプレートシステムもいくつか用意があり、症例の性格や活動性、骨折部位によって使い分けています。
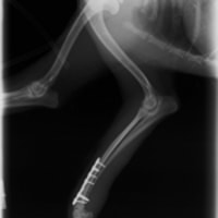
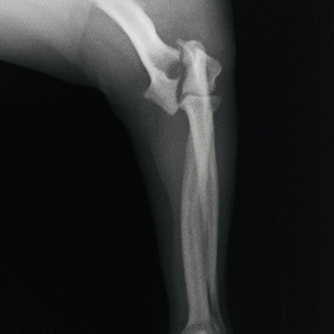
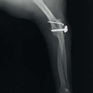
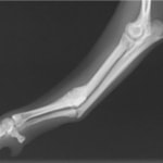
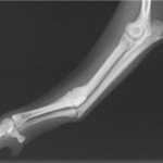
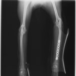
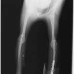
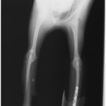
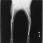
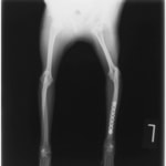
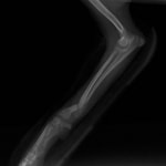
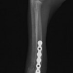
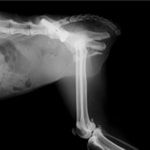
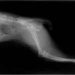
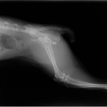
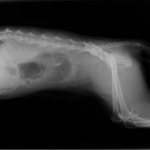
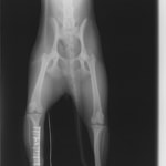
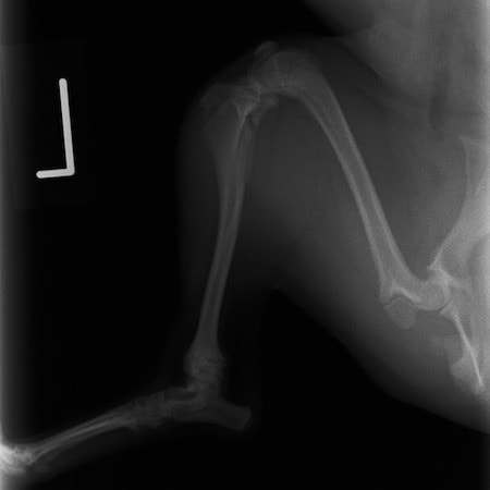
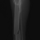
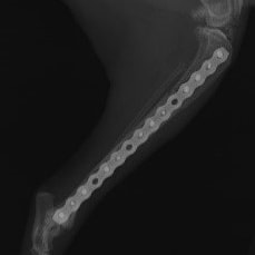
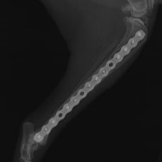
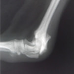
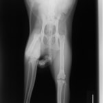
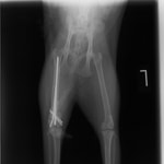
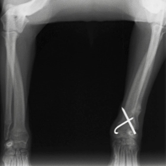
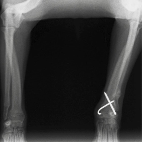
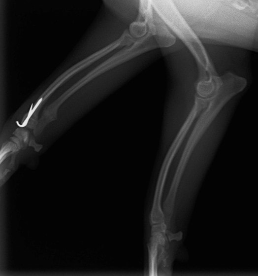
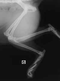
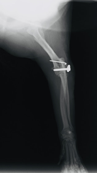
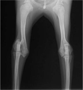
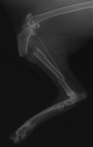
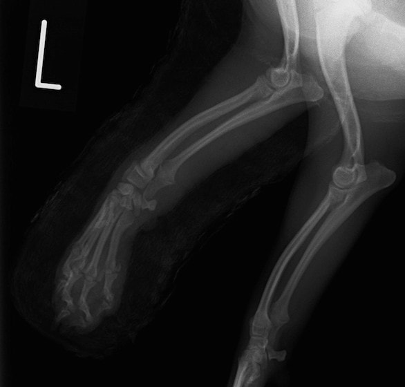
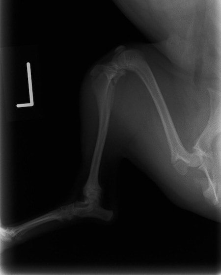
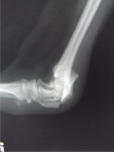
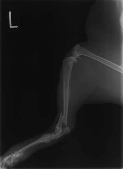
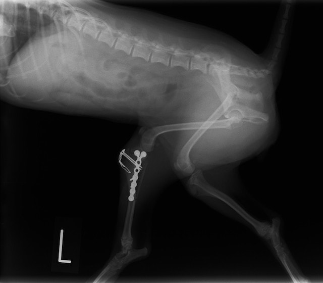
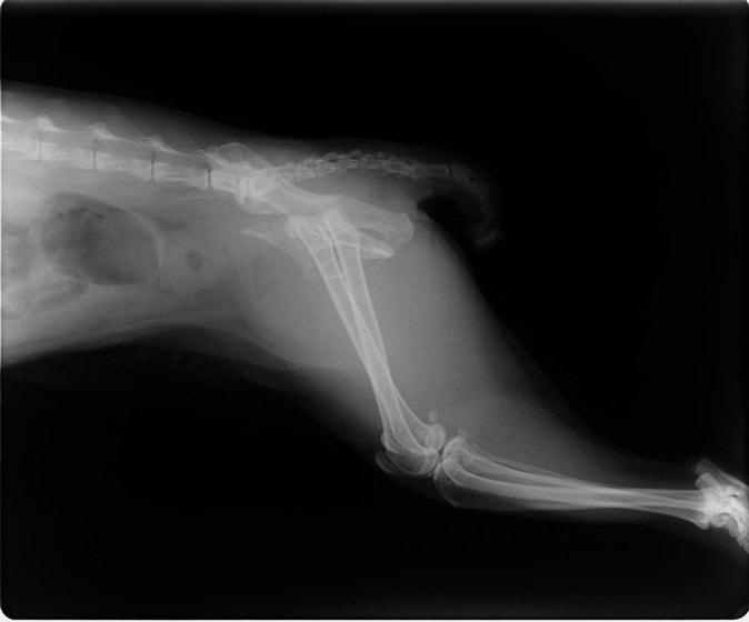
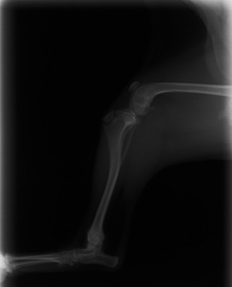
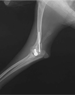
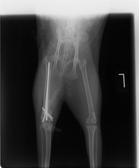
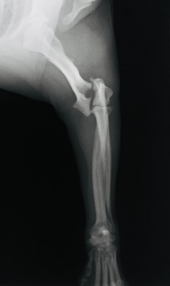
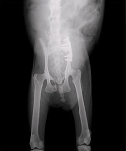
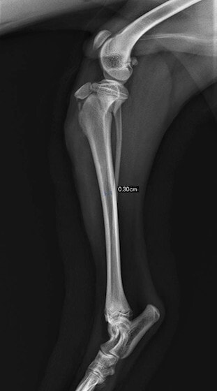
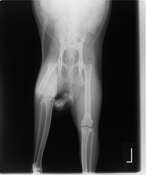
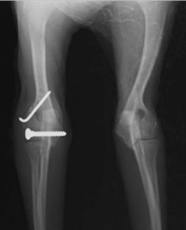
症例3:キルシュナーワイヤーのピンニングによる整復
ペルシャ猫 11ヶ月齢 雄
他院にて左大腿骨遠位の成長板骨折(salter-harrisⅠ型)が認められており、治療相談を目的として来院。当院にて、キルシュナーワイヤーを用いたピンニングにより骨折部位の整復を行いました。術後の経過は良好で、現在も経過観察中です。
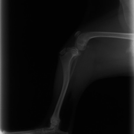
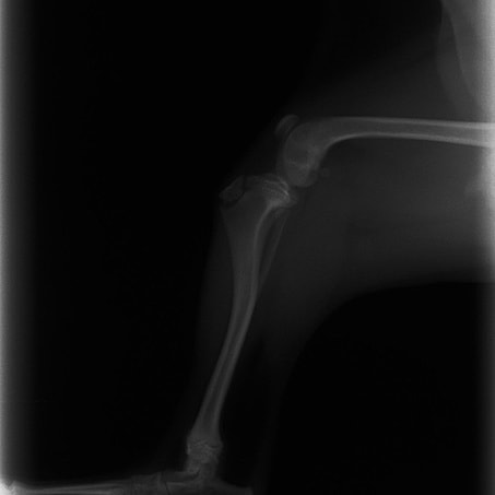
術前レントゲン
術後レントゲン
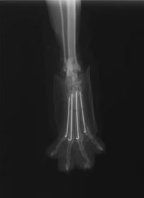
機器
Arthrex社のターゲティングデバイスを用いてピンニングの位置を調整することで、確実な固定を行っています。当院ではこの手術器具以外にも、人の手術にも使用される様々な器具を導入し、手術精度を高め、また医療メーカーと新しい器具の開発、試作にも取り組んでおります。
気になる方は豊玉病院まで Tel:03-5912-125















































































































































































































































