内視鏡
異物除去
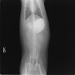
11歳 ミニチュア・ダックス 去勢オス
主訴:焼き鳥の竹串を食べたとの事で来院しました。元気・食欲は問題なく、嘔吐などの症状もありませんでした。便にも竹串が1/3程でているとの事でしたが、全ての竹串が出ていないため、内視鏡検査を実施致しました。
内視鏡検査所見:胃内に竹串の先端部分が残っていたため、異物鉗子にて摘出しました。胃内は、全体的に炎症を伴い、出血している部位も確認されました。摘出後は、胃粘膜保護薬・プロトンプインヒビター(胃薬)の内服2剤ならびに食事療法により経過は良好です。
摘出した竹串
内視鏡下写真
◎竹串誤飲は、異物の1位と言われるほど多く認められています。竹串は、先端が尖っているため消化管穿孔などを起こし、命に関わることもあります。万が一、ご自宅や散歩中に串などを食べてしまった場合は、病院まですぐご連絡下さい。また竹串は、食道を傷つけ・穴をあける恐れなどもあるため無理に吐かせる事は絶対にしないで下さい。本症例は、内視鏡下にて摘出が可能でしたが、状況によっては開腹が必要となる場合もあります。
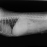
11歳 ミニチュア・ダックス 去勢オス
主訴:焼き鳥の竹串を食べたとの事で来院しました。元気・食欲は問題なく、嘔吐などの症状もありませんでした。便にも竹串が1/3程でているとの事でしたが、全ての竹串が出ていないため、内視鏡検査を実施致しました。
内視鏡検査所見:胃内に竹串の先端部分が残っていたため、異物鉗子にて摘出しました。胃内は、全体的に炎症を伴い、出血している部位も確認されました。摘出後は、胃粘膜保護薬・プロトンプインヒビター(胃薬)の内服2剤ならびに食事療法により経過は良好です。
摘出した竹串
内視鏡下写真
◎竹串誤飲は、異物の1位と言われるほど多く認められています。竹串は、先端が尖っているため消化管穿孔などを起こし、命に関わることもあります。万が一、ご自宅や散歩中に串などを食べてしまった場合は、病院まですぐご連絡下さい。また竹串は、食道を傷つけ・穴をあける恐れなどもあるため無理に吐かせる事は絶対にしないで下さい。本症例は、内視鏡下にて摘出が可能でしたが、状況によっては開腹が必要となる場合もあります。
4歳 アメリカンショートヘアー
主訴:3日前から嘔吐が続き、食欲も落ちてきたのこと。
対症療法(症状に対する治療)に反応しないため、精査を実施。
一般血液検査:問題なし
単純レントゲン検査:胃内ガス陰影・腸内ガスが少量認められる。

嘔吐が改善しないため、消化管バリウム造影検査を実施。
以下、
消化管バリウム造影レントゲン



バリウム造影3時間経過するも、胃内からバリウム排泄なく同日内視鏡検査を実施。
内視鏡検査結果:内視鏡下にて、バスケット鉗子を用いて摘出。
症例は、机の上に置いていたピスタチオのお菓子を誤飲していました。その後の経過は良好です。本症例は、内視鏡下にて摘出ができましたが、球状・立体などの大きな異物は、腸の途中で詰まりやすく、内視鏡下での摘出が困難な場合もあります。その際は、開腹下にて腸内の異物を摘出しなくてはなりません。動物たちは、思わぬ物を誤飲することがあります。お留守番時・就寝時は、誤飲をしやすい時間帯ですので注意しましょう。
◎バリウム造影検査とは??
ヒトと同様に特殊な液体を飲み、消化管内のバリウムの流れを経時的に撮影していきます。
胃の粘膜状態、胃から腸への通過障害の有無などを確認することが出来ます。また、単純レントゲンでは写することのできない物もバリウムを飲む事で写し出されることが多くあります。検査をするためには、前日の夜からの絶食が必要になりますが麻酔などは必要ありません。
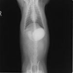
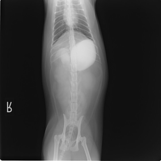
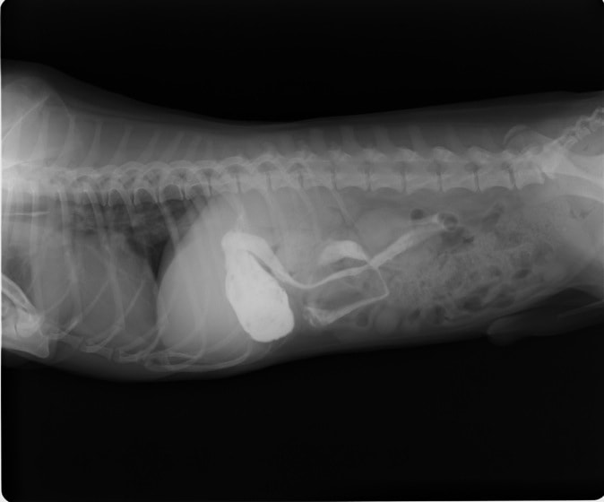
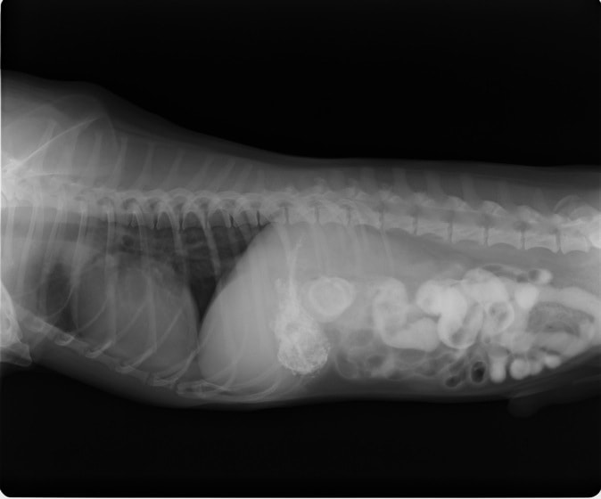
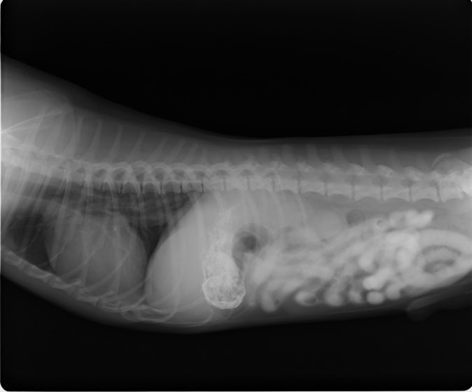
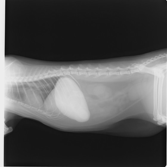
9歳 チワワ 4.8kg
主訴:2日前の夜に桃の種を飲み込んだとのこと。元気・食欲に問題はなく、嘔吐などの消化器症状もみられなかった。誤飲した当日に他院にて催吐処置を試みたが、吐き戻さなかったとのこと。
単純レントゲン検査:明らかな異常所見なし

消化管バリウム造影レントゲン検査:胃内にて異物の存在を疑う異常所見を認めた。
造影直後

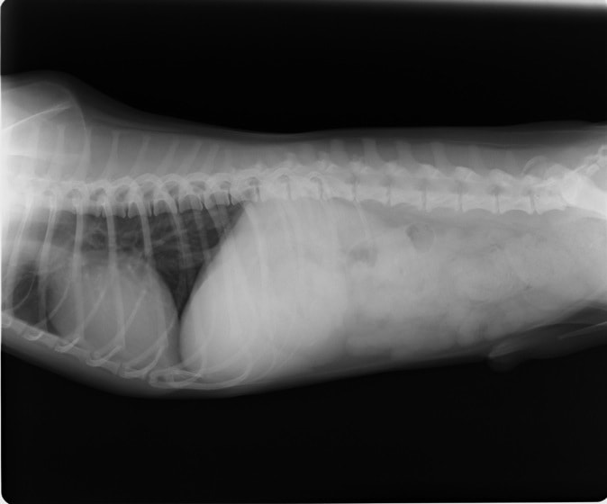
内視鏡検査:内視鏡下にて、バスケット鉗子を用いて胃内異物を摘出。

異物内容:桃の種 (約4cm大 写真上)、とうもろこしの芯 (約2.5cm大 写真下)
本症例は、床に落としてしまった桃の種を誤飲していました。動物の体格に対して異物が非常に大きく、開腹手術となる可能性があった症例でした。また、桃の種と一緒に出てきたとうもろこしの芯は、日々のおやつとして与えていたものということでした。とうもろこしの芯は非常に硬く、小さく切って与えても消化されず、長期間胃内に残ってしまうことや腸閉塞の原因となる為、注意が必要です。
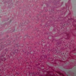
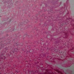
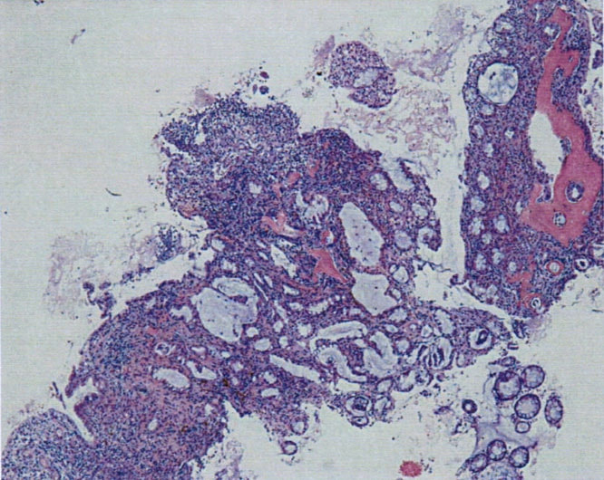
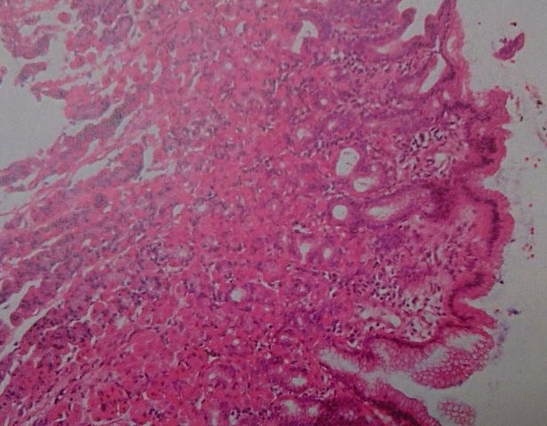
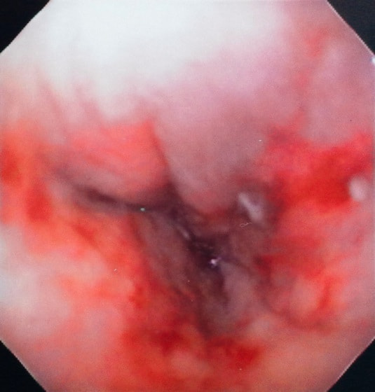
症例:炎症性ポリープ M.ダックス 10歳 オス
主訴:8ヶ月前から便が細くなり、血が混じることがある。その他、元気・食欲等、一般状態は良好。
経過:超音波検査にて直腸壁の肥厚(5㎜)が認められた。また、直腸検査で直腸全周に結節状病変を触知し、出血も確認された。消炎剤、抗生剤、整腸剤による治療への反応が長期的に悪いため、生検も含めた内視鏡検査を実施した。
内視鏡検査:肛門付近の直腸全周に、炎症および出血を伴う結節状病変を多数認めた。
病理検査:直腸の病変は、良性の非腫瘍性病変の一つである“炎症性ポリープ”と診断された。
診断後経過:炎症性ポリープは多発する傾向や腫瘍に転化する可能性があるため、消炎剤、抗生剤、整腸剤による内科療法を継続しながら、現在プルスルー法による外科的摘出術を検討中。
◎炎症性ポリープとは
近年、ミニチュアダックスで好発が知られている良性の腫瘍性の病変です。しばしば多発し、また腫瘍に転化する事があります。
























































