循環器科の症例紹介
僧帽弁閉鎖不全症
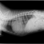
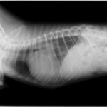
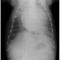
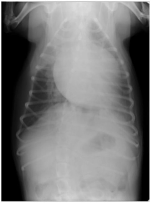
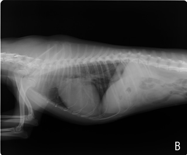
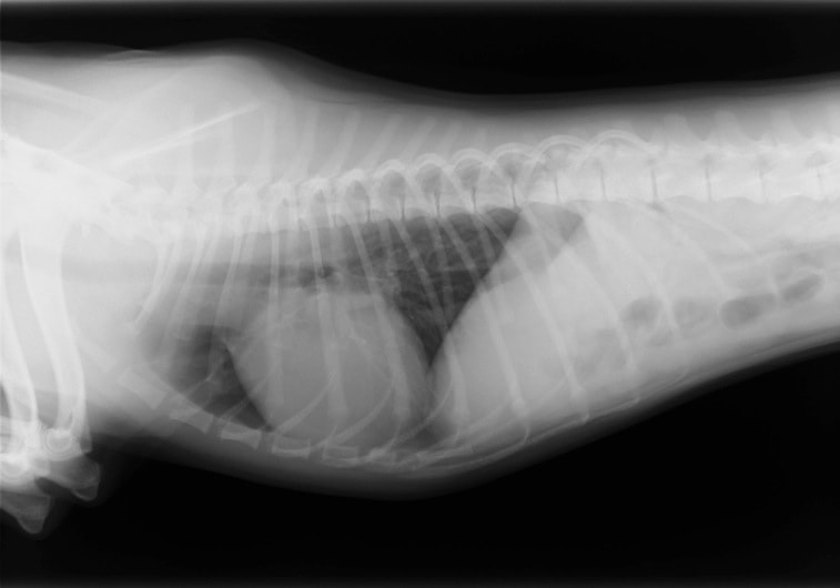
症例1:【マルチーズ 12歳齢 去勢オス】
A:胸部レントゲン写真 正面像
B:胸部レントゲン写真 側面像
C:超音波 僧帽弁逆流、三尖弁逆流、大動脈弁逆流の動画
左側胸壁心尖部領域を最強点とするLevine 5/6の収縮期性心雑音が聴取された。
胸部レントゲン検査において重度の心拡大と肺水腫が認められた。超音波検査では、重度の僧帽弁閉鎖不全症、三尖弁閉鎖不全症、中程度の大動脈弁閉鎖不全症を合併していることが判明した。三尖弁逆流速度から肺高血圧症が示唆された。
ACE阻害薬、ピモベンダン、硝酸イソソルビド徐放剤、ベラプロストナトリウム、利尿剤としてフロセミドとスピロノラクトンを用いて治療を行った。
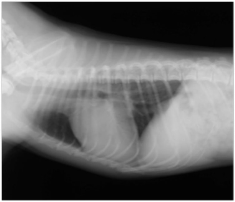
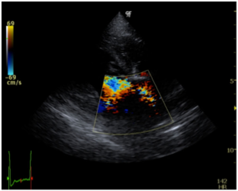
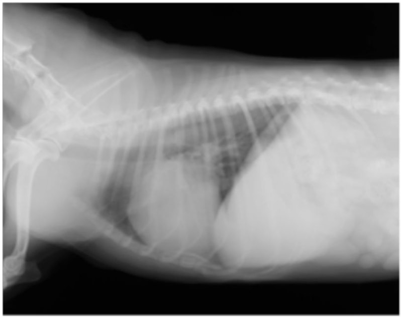
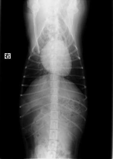
症例6:【ACVIM StageD ビーグル 10歳 去勢雄】
A:胸部レントゲン写真 側面像
B:胸部レントゲン写真 正面像
C:超音波 僧帽弁逆流のカラードップラー画像
D:La/Ao比の重度拡大あり
左側胸壁心尖部領域を最強点とするLevine 5/6の収縮期性心雑音が聴取された。安静時にも咳が認められる。胸部レントゲン検査において重度の心拡大が及び肺水腫が認められた。超音波検査では、重度の僧帽弁閉鎖不全、三尖弁閉鎖不全が認められた。三尖弁逆流速度から肺高血圧症が示唆された。ACE阻害薬、ピモベンダン、硝酸イソソルビド徐放剤、ベラプロストナトリウム、利尿剤としてフロセミド及びスピロノラクトンを用いて治療を行っている。
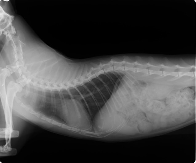
症例1:閉塞型肥大型心筋症(HOCM)【アメリカン・ショートヘア 4歳齢 去勢オス】
A:胸部レントゲン写真 正面像
B:胸部レントゲン写真 側面像
C:超音波写真 僧帽弁逆流と左室流出路狭窄
D:超音波写真 狭窄部の異常血流速度の測定
1年ほど前より左側胸壁からLevine 3/6の心雑音が聴取されていた。雑音の精査のため、心エコー検査を行ったところ、左室流出路の狭窄を伴う肥大型心筋症(閉塞型肥大型心筋症)と判明した。心室の拡張性を上げるため、βブロッカーであるカルベジロールを用いた治療を行っている。肥大型心筋症は犬の心疾患のように、心拡大を認めないことも多く、レントゲン写真のみで心疾患の有無を判断する事が出来ない。また、閉塞を伴わない肥大型心筋症と異なり、閉塞型の本疾患の治療に対し、Caチャネルブロッカーは推奨されない。



























































