腫瘍外科
軟部組織の腫瘍
症例:腋窩部の軟部組織肉腫 ウェルシュ・コーギー 11歳 去勢オス
CT写真
右前肢の破行および疼痛を主訴に来院。消炎剤による内科療法にて疼痛の改善はあるものの、破行の継続および神経反射の低下が認められたため、MRIおよびCT検査を実施。
CT所見:右腋窩部に腫瘤の形成を確認
術中写真
腫瘤の針吸引生検を行い、細胞診の結果腫瘍が疑われたため、腫瘤の摘出手術を実施した。CT検査にて、腫瘤は深部まで及び周辺組織を巻き込んでいるのが確認されていたことから、完全摘出のため同時に右前肢の断脚術を行った。
病理写真
摘出した腫瘤の病理組織検査の結果、“軟部組織肉腫(中間悪性度)”と診断、摘出状態も良好と確認された。軟部組織肉腫は局所浸潤性が強い腫瘍である。また、本症例の腫瘤は巨大で、腋窩部という摘出が難しい場所に形成されていた。断脚術を併用したことで完全摘出が可能となったと考えられる。術後の経過も良好である。
症例:肉球の悪性黒色腫(皮膚メラノーマ)ミニチュア・ダックスフント 14歳 避妊雌
後肢の肉球からの出血を主訴に来院。肉球と皮膚との境界部に直径約5mmの傷(糜爛)を認めた。抗菌剤による治療で一時的に良化したが、その後同部位に腫瘤の形成が確認された。腫瘤が急速に増大傾向を示したため、切除手術を実施、病理組織検査にて“悪性黒色腫”と診断された。
術前
術後
“黒色腫”は主に犬の口腔内や皮膚、指端部に認められる腫瘍で、メラニン色素を有することにより黒色の腫瘤を形成するのが特徴である(一部、色素が乏しいタイプも認められる)。皮膚に発生するものの多くは良性であるのに対し、口腔内および指端部に発生するものは悪性の挙動をとることが多いと言われている。悪性のものは、本症例のように急速な拡大傾向を示したり、潰瘍を形成することがある。
悪性黒色腫に限らず、腫瘍性疾患の中には、しこりを作らず皮膚炎のように発赤や痂皮、糜爛や潰瘍(皮膚のただれ)のみを最初に認めることがある。抗菌剤や消炎剤での治療を行ってもなかなか改善しない皮膚症状は、腫瘍性疾患が関与している可能性もあるため、注意が必要である。また、体にしこりが認められる際、特に急激に大きくなる場合は、悪性腫瘍の可能性も考慮し早期の検査・治療を検討するべきである。
症例:肘頭部付近の腫瘍 ボルゾイ 6歳 オス
他院で処方された内服に一時的に反応はするものの悪化と良化を半年以上繰り返すとの主訴で来院。肘頭部付近に5cm大の腫瘤と皮膚炎が観察された。内服で一時良化するが腫瘤の縮小が乏 しい為、切除手術を実施し、病理組織検査にてグレード3の肥満細胞腫と診断された。皮膚肥満細胞腫は組織学的分類が重要な予後判定因子となっており、悪性度の最も高いグレード3は手術後4年生存率が6%との報告がでている(Patnaik)
皮膚肥満細胞腫の治療では、外科手術と放射線療法による局所治療が最も重要であるが、以下の場合には状況により化学療法が必要となる。
・組織グレードが3
・リンパ節転移が認められる、脈管内浸潤が認められる
・切除マージンが不十分な症例で放射線療法が実施できない
・腫瘍が多発性
・何らかの理由で外科手術・放射線治療ができない


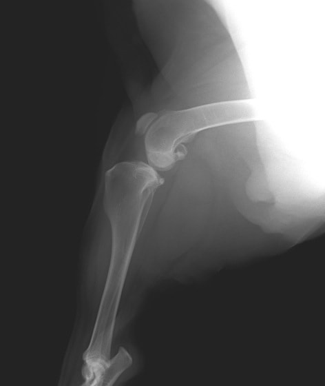
症例:右大腿骨遠位部の肉腫 クランバー・スパニエル 9歳 雌(未避妊)
2か月前から右後肢の完全挙上が認められ、消炎剤による内科治療で改善しないとのことで、他院から紹介来院した。
レントゲン検査
骨生検および病理組織検査
レントゲン検査所見から、骨もしくはその周囲組織に発生した腫瘍の可能性が考えられたため、病変部の細胞診検査およびジャムシディ生検針を用いた病変の骨生検を実施した。病理組織検査の結果、非上皮性の悪性腫瘍である“肉腫”と診断された。
内科治療に反応が乏しい四肢の跛行や疼痛は、本症例のように腫瘍が原因となっていることがあるため、レントゲン検査、骨生検等積極的に原因追及のための検査を実施することが必要である。骨の破壊を起こす悪性腫瘍は、非常に強い痛みを伴い、消炎鎮痛剤を用いても痛みを抑えることが困難となる。痛みの除去および腫瘍の治療のために断脚手術や抗がん剤等が必要となる場合があり、似た症状を示す整形外科疾患等とは治療法・予後が異なるため、その鑑別は重要である。
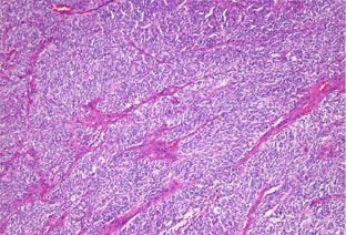
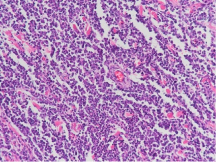
症例:肛門嚢アポクリン腺癌 犬、10歳、去勢雄
当院で肛門腺絞りの処置を実施した際に、左肛門嚢付近に5mm大の腫瘤の形成を認めた。肛門嚢の炎症の可能性を考慮し抗生剤による治療を行ったが改善が得られず、細胞診検査を実施、“肛門嚢アポクリン腺癌を疑う”との結果であった。胸部および腹部への転移所見が無いことを確認後、左肛門嚢および腫瘤の摘出を実施、病理組織検査にて“肛門嚢腺癌”と確定診断された。
肛門嚢アポクリン腺癌は、肛門の4時と8時の方向にある肛門嚢に発生する悪性腫瘍で、主に高齢の犬に認められ、猫での発生は稀である。腫瘍が大きくなるまでは表面的には見えないため、本症例の様に偶発的に発見されることが多い。腹腔内のリンパ節に50%以上という高い割合で転移を起こし、腫大したリンパ節に直腸が圧迫されることによる排便困難等の症状が認められ、腫瘍が見つかることもある。治療は、外科手術が第一選択であるが、腫瘍が大きい場合は根治的な手術が困難になる場合がある。そのため、肛門嚢の位置に腫瘤が認められたときは、増大するのを待たずに早期に検査・治療を考慮するべきである。
本症例においては、手術後から現在までに腫瘍の再発は認められておらず、今後もリンパ節や肺への転移の有無に注意して経過を見ていく必要がある。
症例:肝臓の結節性過形成 犬、11歳、去勢雄
持続的な肝酵素の上昇が認められるとのことで来院。肝保護剤等による内科療法および食事療法で肝酵素の改善が得られず、腹部の超音波検査を実施、肝臓実質に腫瘤性病変の形成を認めた。病変部の拡がりおよび転移の有無の確認のため、CT検査を実施。その結果、肝臓の内側左葉に直径7cm×6cm×5cmの腫瘤性病変を認めた。病変は単一であり、肺等への転移所見が無いことから、摘出手術を実施、病理組織検査にて「結節性過形成」と診断された。
CT写真
結節性過形成は、高齢の犬において多く認められる良性の非腫瘍性病変である。通常は、3cm程度までの小型の腫瘤であり、血液検査上の異常を示すことはほとんどないと言われている。肝細胞癌等の悪性腫瘍との鑑別は、超音波検査やCT検査、細胞診検査等だけでは困難である。多くの場合、確定診断のためには、腫瘤の摘出手術を実施し、病理組織検査を行うことが必要となる。本症例のように、肝臓の腫瘤が3cm以上の大型である場合は特に、悪性腫瘍の可能性も考慮し、摘出を検討して検査を進める必要がある。
本症例は、悪性腫瘍ではなく結節性過形成との診断であるため、今回の摘出により予後は良好であると考えられる。
症例:ミニチュアダックスフンド、13歳、避妊雌
他院にて肝酵素(GPT、ALP)上昇が認められ、当院にて超音波検査を行うため来院。肝酵素の他にTG、TP、ALBの上昇と、Cre、Naの低下を認めていた。来院時、多飲多尿症状を聴取。肝臓・胆嚢、副腎に対する超音波検査を実施したところ、左側副腎頭側部に由来不明の腫瘤病変を確認。CT検査を行い、左側副腎腫瘍を疑う(腺癌の可能性、血管の巻き込み等ないためオペ推奨)との診断が得られたため、左側副腎腫瘍摘出手術を実施。3.2cm×3.0cm×3.0cmの腫瘤性病変を摘出し、病理検査にて「副腎皮質腺腫(良性腫瘍)」と診断された。術後はホルモン補充としてのステロイド投与は必要なく、肝数値上昇に対する内服薬のみ継続している。数週間で多飲多尿症状も落ち着き、良好な経過を辿っている。
エコー検査
摘出した腫瘍
病理組織




























































